Обратный звонок
Вы можете отправить нам сообщение прямо сейчас!
Кисты на зубах: лечить нельзя удалять.
Многие пациенты, услышав диагноз «киста на зубе», сразу представляют себе лишь один вариант – удаление. Однако современная стоматология предлагает щадящие методы лечения, позволяющие сохранить собственный зуб даже при наличии кисты. Эндодонтическое лечение – один из таких методов, часто являющийся эффективной альтернативой удалению.

Киста зуба (деструкция костной ткани) – это полость, заполненная жидкостью, которая образуется вокруг верхушки корня зуба. Причиной ее появления чаще всего становится инфекция, развившаяся из-за глубокого кариеса, травмы или некачественного лечения корневых каналов. Киста может долгое время себя никак не проявлять, но со временем она увеличивается в размерах, вызывая боль и отек десны.
В большинстве случаев эндодонтическое лечение позволяет сохранить зуб. Это сложная, но эффективная процедура, направленная на удаление инфекции из корневых каналов и лечение кисты.

Процедура включает несколько этапов:
- Диагностика: врач проводит тщательное обследование, включая снимок КТ, для определения размера и локализации кисты, а также степени поражения зуба.
- Обработка корневых каналов: после анестезии врач открывает доступ к каналам, тщательно очищает их от инфицированной пульпы, используя специальные инструменты и растворы.
- Пломбирование каналов лечебной пастой: после тщательной очистки в каналы вводят лекарство и временную пломбу.
- Постоянное пломбирование каналов: спустя 14-21 день временная пломба удаляется и каналы пломбируются постоянным материалом.
- Реставрация зуба: после завершения эндодонтического лечения зуб восстанавливается с помощью пломбы или коронки, чтобы обеспечить его прочность и функциональность.
Эндодонтическое лечение кист имеет положительный прогноз при отсутствии тяжелых сопутствующих заболеваний и хорошем состоянии зуба (отсутствии обширных и глубоких разрушений)

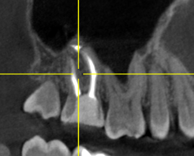
Клинический случай: пациент 21 год обратился с жалобами на боль и отек в области переднего зуба. На снимке КТ выявлено обширное воспаление (более 5мм диаметре) Проведено эндодонтическое лечение по протоколу с введением лечебной пасты на 14 дней.
киста на верхушке корня 12 зуба (очаг деструкции костной ткани)

На контрольном снимке спустя 4 месяца киста полностью зажила. Зуб спасен, пациент счастлив. Работу выполнил врач Белым Елена Сергеевна.

Клинический случай: пациент 54 года обратился для планового осмотра, ранее лечился в другом городе. На снимке КТ выявлена киста, которая пациента не беспокоила, однако являлась причиной хронического воспаления в полости рта. Зуб ранее уже был лечен.
Проведено эндодонтическое лечение по протоколу.

Киста на многокорневом зубе (зуб 17)
На контрольном КТ спустя 6 месяцев полное заживление воспалительного процесса (кисты). Пациент направлен к ортопеду для восстановления зуба коронкой. Врач Белым Елена Сергеевна.
Получить бесплатную консультацию
Узнайте больше о проводимой акции и ее условиях
